最新研究!高劑量NMN可抑制肺腺癌生長!
β-煙酰胺單核苷酸(NMN)是生理循環煙酰胺腺嘌呤二核苷酸 (NAD) 前體,可提高 NAD +的細胞水平并改善各種與年齡有關的疾病。衰老與腫瘤發生之間存在著不可分割的聯系,特別是涉及癌細胞中異常的能量代謝和細胞命運調節。
近年來,已證實NMN通過延緩免疫細胞衰老、增強免疫細胞功能等機制,在免疫療法(PD-L1相關)、CAR-T療法、NK細胞療法等癌癥療法中發揮積極作用,NMN對化療損傷亦有緩解功效,有望成為化療期間的輔助干預手段。
近日,有研究團隊研究了高劑量 NMN 在肺腺癌中的作用。研究發現高劑量 NMN 通過 NAM 介導的 SIRT1-AMPK-ACC 信號傳導促進鐵死亡,強調了高劑量 NMN 在操縱癌細胞代謝方面的腫瘤影響,為肺腺癌患者的臨床治療提供了新的視角。

肺腺癌是最常見的肺癌的類型,約占肺癌總數的40%,在所有肺癌類型中,發病率位居第一。
癌癥是全球第二大死因,肺癌是全球癌癥患者主要死因,2020年全球有約180萬人死于肺癌。根據全球癌癥流行病學調查,肺癌的發病率和死亡率與年齡呈正相關,與年輕肺癌患者相比,60歲以上肺癌患者的生存時間明顯較低。

▲2020年癌癥死亡病例數前十的癌癥類型
衰老可能是促進肺癌發生、發展的主要因素。衰老的內皮細胞導致腫瘤周圍不連續的內皮襯里和有缺陷的基底膜;因此,這些細胞失去了限制腫瘤生長和轉移的作用。衰老引起的炎癥和反應低下也限制了肺癌治療的有效性。

研究結果表明,高劑量NMN局部治療可強烈抑制肺腺癌細胞的腫瘤生長并誘導腫瘤鐵死亡。
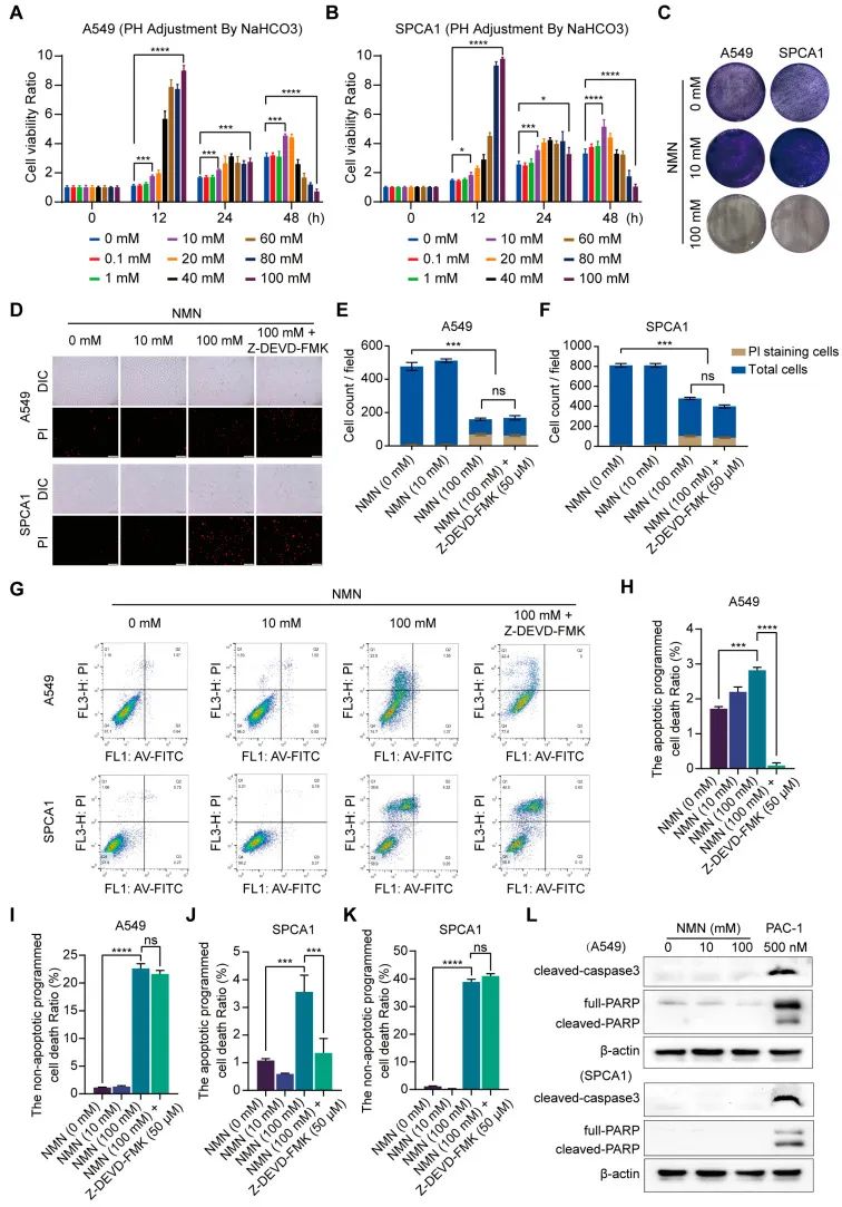
1.高劑量NMN(100 mM)抑制肺腺癌 A549 和 SPCA1 細胞增殖并促進細胞死亡,而低劑量(10 mM)治療產生相反的效果;

▲高劑量 NMN 誘導肺腺癌細胞非凋亡調節性死亡

▲高劑量NMN可抑制體內肺腺癌的生長
2.高劑量NMN誘導的細胞死亡是通過鐵死亡發生的;

▲高劑量NMN誘導肺腺癌細胞鐵死亡
3.高劑量NMN治療主要誘導細胞內NAM超載,引發鐵死亡;

▲高劑量 NMN 通過其代謝物 NAM 誘導鐵死亡
4.高劑量NMN通過過載 NAM 介導的 SIRT1-AMPK-ACC 途徑誘導腫瘤鐵死亡。

▲高劑量NMN通過NAM超載介導的SIRT1-AMPK-ACC通路促進肺腺癌細胞鐵死亡
研究也進一步表明,NAMPT抑制劑FK866(一種潛在的腫瘤治療劑)與高劑量NMN局部治療的組合增加了體外和體內腫瘤抑制的功效。
研究團隊認為有必要進一步探索優化肺腺癌患者 NMN 反應的策略,提出了 NMN 對調節肺腺癌細胞鐵死亡的影響模型。

▲NMN 對調節肺腺癌細胞鐵死亡的影響模型

在較早的一項研究中,有研究者認為NMN可能會加速癌變組織的進一步惡化,引起了不少的關注,然而不論是2023年清華大學研究團隊針對NMN對三陰性乳腺癌(TNBC)的研究發現,還是本次針對NMN對肺腺癌的研究都表明高劑量的NMN可限制腫瘤的生長。

NMN在其他癌癥上是否也需要同樣的高劑量,還有待于更多的研究。可以確認的是,越來越多的研究證明,NMN非但不會致癌,還有助于對抗腫瘤。
此外,盡管NMN抗腫瘤研究不斷取得進展,對健康人群的臨床研究也均顯示安全,但現階段尚不推薦癌癥患者服用。
我們提供高品質的β-煙酰胺單核苷酸(NMN)原料,產品遠銷歐美、韓國、印度等世界各地,如果您對我們的產品感興趣,請隨時與我們聯系,我們將很樂意提供您需要的任何信息。
*特別說明 - 本文僅作資訊科普用途,不能代替醫生的治療診斷和建議,不應被視為對所涉醫療產品的推薦或功效證明。涉及疾病診斷、治療、康復相關的,請務必前往專業醫療機構就診,尋求專業意見。